本文目录
新型冠状病毒是什么?
2019新型冠状病毒 ,即“2019-nCoV”,因2019年武汉病毒性肺炎病例而被发现,2020年1月12日被世界卫生组织命名 。冠状病毒是一个大型病毒家族 ,已知可引起感冒以及中东呼吸综合征(MERS)和严重急性呼吸综合征(SARS)等较严重疾病。新型冠状病毒是以前从未在人体中发现的冠状病毒新毒株,2019年12月以来,湖北省武汉市持续开展流感及相关疾病监测 ,发现多起病毒性肺炎病例,均诊断为病毒性肺炎/肺部感染。
得了新型冠状病毒有哪些症状?
新型冠状病毒感染后人体早期的症状和一般病毒感染引起的感冒症状有相似之处,主要表现为疲倦、乏力、肌肉酸痛 ,也有少数病人会表现为胃肠道的反应,比如腹痛和腹泻 。
随着病情的发展,病人会出现发烧的症状,发烧度数在37.3度以上。另外还会出现呼吸道相关症状 ,包括咳嗽 、喉咙疼痛等。
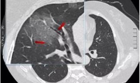
随着症状的加重,病人会出现呼吸困难、胸闷、气短,甚至会出现呼吸窘迫等严重症状 。进行影像学的检查会发现肺部有磨玻璃一样的肺间质的改变。表现严重的还会出现脓毒血症 、感染性休克、凝血功能障碍和肾功能衰竭等。

(图片来源于 *** 侵删)
目前对于新型冠状病毒所致疾病没有特异治疗 *** 。但许多症状是可以处理的 ,因此需根据患者临床情况进行治疗。此外,对感染者的辅助护理可能非常有效。
如何预防新型冠状病毒?
新型冠状病毒暂时没有有效的疫苗预防 *** ,做好个人防护是最切实可行的 *** ,包括:
保持基本的手部和呼吸道卫生,坚持安全饮食习惯。
尽可能避免与任何表现出有呼吸道疾病症状(如咳嗽和打喷嚏等)的人密切接触 。
多饮水、注意休息,提升免疫力。
居住及工作环境中多保持通风状态。
怀疑自己得了新型冠状病毒怎么办?
怀疑自己疑似感染新型冠状病毒时 ,要之一时间与家人和朋友隔离,不要外出,避免病毒交叉感染 。
身体进一步出现发热(发烧度数>37.3度) 、咳嗽等异常临床表现时 ,要之一时间向当地疾病预防控制机构报告,这样能够更好的控制新型冠状病毒传播。
在当地疾病预防控制机构的指导下到指定医疗机构进行排查、诊治。要保持医学观察14天,14天期间如果无其他症状发生,才可以解除隔离 。
以下是其他关于冠状病毒的其他专题解读:
【预防知识】积极防护 ,保护自己
【科普】新型冠状病毒感染的肺炎
常用口罩种类盘点
若您在疫情期间有乘坐公共交通工具,可使用:新型肺炎患者同乘查询
查看各地实时交通封禁状况可关注:疫情出行管控消息速报
若您出现身体不适状况,可足不出户 ,在线免费问医生:阻击肺炎免费问医生
新型冠状病毒肺炎疫情应急预案一、总体目标
为做好新型冠状病毒肺炎防控工作,提高新型冠状病毒肺炎的防治水平和应对能力,及时 、有效地采取各项防控措施 ,做到早发现、早报告、早诊断 、早隔离、早治疗新型冠状病毒肺炎病例,控制疫情的传播、蔓延,保障公众身心健康和生命安全 ,维护社会稳定,特制定本预案。
二 、工作原则
*** 领导,部门配合;依法防控 ,科学应对;预防为主,防治结合;群防群控,分级负责。
三、编制依据
《中华人民共和国传染病防治法》《突发公共卫生事件应急条例》《国家突发公共卫生事件应急预案》《卫生部应对流感大流行准备计划与应急预案(试行)》《湖南省突发公共卫生事件应急预案》和《南县突发公共卫生事件应急预案》等 。
四、适用范围
本预案适用于我县卫生行政部门及各级各类医疗卫生机构开展的新型冠状病毒肺炎防治应对准备及应急处置工作。
五 、组织、协调与管理
(一)组织机构
县卫生健康局在县 *** 统一领导下,成立新型冠状病毒肺炎防控工作领导小组:
组长:尚光辉
副组长:吴耐文、周志明
成员:段立 、梁小清、余孟军、文华、陈涤 、黄建明、卜慧、文辉 、李志勇、陈剑、黄海波
工作要求:统一指挥 、组织协调系统内的新型冠状病毒肺炎防控工作;成立由临床、流行病学和实验室检验、消杀及风险沟通等相关专业人员组成的新型冠状病毒肺炎防治技术专家组 ,为本县的新型冠状病毒肺炎疫情防治工作提供技术支持。县卫健局在县 *** 统一领导下,与林业 、商务、市监、财政 、宣传、网信、公安、三创等部门加强信息沟通,密切配合 ,依法开展各项预防控制工作 。
成立由专业技术人员组成的新型冠状病毒肺炎疫情应急处置小组:
组长:吴耐文
副组长:卜慧 、文辉、李志勇
成员:朱立冬、曹武 、肖卫业、程治球、段平波 、郭建红、高立新及其他医疗卫生机构主要负责人
工作要求:负责开展本单位或本辖区的新型冠状病毒肺炎疫情应急处置工作。所有成员必须服从组长的领导,根据组长的安排做好疫情的处置与报告工作,保持通讯24小时畅通 ,随时接受组长的任务安排。
成立后勤保障小组:
组长:周志明
副组长:陈涤
成员:黄海波、陈剑 、汤海峰、陈小兵
工作要求:所有成员必须服从组长的安排做好应急所需的负责防疫车辆、物资等后勤保障工作,保持个人通讯24小时畅通,随时接受组长的任务安排。
各级各类医疗卫生机构实行新型冠状病毒肺炎防治工作主要领导负责制 、岗位责任制和责任追究制 ,明确任务、目标和责任 。
乡镇卫生院和社区卫生服务中心在县疾控中心和县级医疗机构的指导下,由相应专业人员组成防控工作组,开展本辖区的新型冠状病毒肺炎防控工作。乡卫生院、社区卫生服务中心、村卫生室及个体诊所要密切关注辖区内武汉回乡人员健康状况 ,发现可疑疫情及时向县疾控中心报告。
(二)职责分工
1 、卫生行政部门职责
县卫健局负责指挥、组织、协调 、管理辖区内新型冠状病毒肺炎防治工作;结合当地实际制定新型冠状病毒肺炎应急预案;组织开展辖区内新型冠状病毒肺炎疫情应急处置、危重病人医疗救治;组织专家组排查观察病例及不明原因肺炎病例;开展新型冠状病毒肺炎技术培训、应急演练 、督导检查和宣教活动,协助 *** 开展社会动员 。
2、医疗卫生机构职责
(1)疾病预防控制机构职责
县疾控中心承担辖区内新型冠状病毒肺炎预防控制工作;负责当地疫情监测资料的收集、上报;开展现场流行病学调查处理(包括新型冠状病毒肺炎病例的流行病学调查,密切接触者追踪和医学观察,相关标本的采集和运送);指导做好生活环境 、物品的卫生学处理和禽流感疫情现场处置人员的个人防护 ,开展专业人员培训和健康教育;指导并协助乡镇卫生院、村卫生室和个体诊所做好可疑暴露者和密切接触者管理。
(2)医疗机构职责
县级医疗机构负责不明原因肺炎病例和新型冠状病毒肺炎疑似病例的筛查与报告;做好医护人员的个人防护;储备救治需要的药品、器械及防护用品;配合县疾控中心开展流行病学调查;负责本机构内有关人员的培训工作。疫情发生后,如有收治新型冠状病毒肺炎患者,每日要向县卫健局报告病人病情和治疗情况 。
(3)救治定点医疗机构职责
明确县人民医院为救治定点医院 ,县人民医院按照要求,设立相对独立的传染病病房,负责观察病例的在院医学观察 ,负责对确诊病例的隔离治疗 、转运和医院内感染控制;及时发现并积极救治重症病例;
乡镇卫生院、村卫生室和社区卫生服务机构以及其它各类医疗机构负责报告武汉回乡人员不明原因肺炎病例;负责密切接触者管理与健康监测报告工作;在上级部门的指导下开展有关的新型冠状病毒肺炎防控工作。
(3)县卫健综合执法局职责
县卫健综合执法局负责对县内医疗卫生机构的预检分诊、消毒、疫情报告 、院内感染控制等工作开展监督检查,如发生新型冠状病毒肺炎疫情,参与应急处置工作。
(三)疫情监测
1、常规监测
(1)各级医疗机构要设立发热门诊 ,开展预检分诊工作,配备有一定临床经验、经过传染病知识培训的医师,对发热病人进行甄别和鉴别诊断 ,发现疑似病例要按照有关规定及时报告 。对不明原因发热(腋 *** 温≥37.3℃) 、咳嗽等急性呼吸道感染症状患者,接诊医生必须详细询问发病前14天内旅行史或可疑的暴露史,确保不漏过一个可疑病例。同时具备流行病学史和临床表现的观察病例,各级各类医疗机构应立即报告县疾控中心 ,并立即转送县人民医院诊治,不得滞留病人。对于观察与确诊病例,要按有关规定做好 *** 直报工作 。
(2)观察病例监测。县人民医院要及时采集观察病例相关临床标本 ,通知县疾控中心尽快将标本送至省级疾控机构进行相关病原排查检测。
(3)可疑暴露者和密切接触者的监测。县域内如出现人感染禽流感病例,对可疑暴露者和病例密切接触者按照属地管理的原则,由辖区内乡镇卫生院采取集中隔离或居家医学观察 ,医学观察期间出现发热(腋 *** 温≥37.3℃)、咳嗽、气促等急性呼吸道感染症状者,则立即向县疾控中心报告,并按规定送至县人民医院诊治 ,采集标本开展实验室检测与排除工作 。
(4)各级各类医疗卫生机构要严格按照国家卫健委下发的《新型冠状病毒感染的肺炎病例监测方案》,开展新型冠状病毒肺炎病例的监测 、排查和管理等工作。
(5)监测过程中,有关标本的采集、运送、保藏和检测等各项活动均应当遵守国家相关生物安全管理规定。
2 、应急监测
省级有关部门如确认本辖区发生新型冠状病毒肺炎疫情 ,或毗邻地区发生新型冠状病毒肺炎病例,县卫健局立即启动新型冠状病毒肺炎应急监测工作,按照有关技术方案或指南开展应急监测 。
(四)预防与控制
1、疾病预防控制机构接到新型冠状病毒肺炎疫情报告后,应立即按国家卫健委下发的《新型冠状病毒感染的肺炎病例流行病学调查方案》进行流行病学调查和现场处理 ,同时按要求做好流调、消毒 、采样人员的个人防护。
2、乡镇卫生院要按照《新型冠状病毒感染的肺炎可疑暴露者和密切接触者管理方案》对可疑暴露者和病例密切接触者进行判定,并进行每日至少2次体温测定及是否出现呼吸道症状询问的医学观察14天。同时落实对密切接触者进行追踪、登记、测量体温,一旦出现发热 ,咳嗽等症状时立即收至医院进行医学观察,并上报县疾控中心 。
3 、进行流行病学调查的同时,县疾控中心要按照《新型冠状病毒感染的肺炎实验室检测技术指南》要求及时采集病人的痰液或咽拭子、下呼吸道标本或血清标本等 ,并在24小时内送至省疾控中心实验室检测。医疗机构要协助开展病例的流行病学调查和标本采集工作。
4、积极开展健康教育,提高群众的防病意识和能力 。医疗机构要采用多种形式,广泛开展禽流感防治知识的宣传和健康教育 ,提高群众的自我防病意识和能力,引导群众养成良好的卫生习惯。
(五)应急处置
根据以下不同情况采取相应的应对措施。
1 、本地尚未发现新型冠状病毒肺炎疫情
本辖区内尚未发现新型冠状病毒肺炎疫情,但毗邻辖区发生新型冠状病毒肺炎疫情 。应该采取以下措施:
(1)密切关注国内外新型冠状病毒肺炎疫情动态 ,做好疫情监测,开展疫情风险评估和预测预警。
(2)做好各项技术及物资准备,迅速开展医务人员专业技能的培训,提高防控和诊疗能力 ,做好药品、设施、设备 、防护用品等物资的储备。
(3)开展不明原因肺炎病例、不明原因死亡病例的监测和筛查。
(4)开展新型冠状病毒肺炎常规监测,实行观察病例“零报告”制度,县直医疗机构、各乡镇卫生院于每天下午4点前向县疾控中心报告信息 ,县疾控中心于每天下午4:30前向卫健局卫生应急股和基卫股上报信息 。
(5)开展新型冠状病毒肺炎知识的健康教育,提高公众防控新型冠状病毒肺炎知识水平和能力。
2 、本地有新型冠状病毒肺炎疫情
本地区内发生了新型冠状病毒肺炎病例。应该采取以下措施:
(1)与有关部门紧密协作,立即开展病禽密切接触者健康监测和生物标本采集工作 。
(2)启动新型冠状病毒肺炎应急监测 ,救治医院实行病人情况及救治情况日报告制度,其他医疗机构实行新型冠状病毒肺炎疫情“零报告”制度。
(3)医疗机构要做好发热病人预检分诊、救治、医院内感染控制等准备工作。县疾控中心做好病禽接触者病原检测 。做好医疗卫生机构专业人员的个人防护。
(4)按照职责分工和属地管理原则,做好疫点内人居住和聚集场所的消毒处理工作。
3 、本地出现散发或聚集性新型冠状病毒肺炎病例
本地区发现散发或聚集性新型冠状病毒肺炎病例 ,但局限在一定的范围,没有出现扩散现象的,应采取以下措施:
(1)启动新型冠状病毒肺炎应急监测,实行新型冠状病毒肺炎病例零报告制度 。
(2)按照新型冠状病毒肺炎病例流行病学调查方案迅速开展流行病学调查工作 ,查明病例之间的相互关联,判定是否发生人传人现象。
(3)按照密切接触者判定标准和处理原则,确定密切接触者,并做好医学观察。
(4)县人民医院要做好新型冠状病毒肺炎病例隔离、救治和医院内感染控制工作 ,并协助疾病预防控制机构开展流行病学调查和病例的主动搜索、标本采集等工作 。
(5)做好疫情调查处理、医疗救治 、实验室检测等医务人员的个人防护。
(6)按照职责分工,做好疫点内人员居住和聚集场所的消毒处理工作。
(7)及时向本地区有关部门通报有关情况。
(8)进一步加强健康教育,提高公众卫生意识和个人防护意识 ,减少发生新型冠状病毒肺炎的危险性,做好风险沟通,及时开展心理干预 ,避免出现社会恐慌 。
(9)如经调查证实发现人传人病例,要根据疫情控制的需要,划定疫点和疫区范围 ,报请当地人民 *** 批准,采取学校停课、部分行业停业等防控措施。
4、证实人间传播病例并出现疫情扩散状态
证实新型冠状病毒肺炎疫情出现人间传播病例并有扩散趋势,按照《湖南省突发公共卫生事件应急预案》和《南县突发公共卫生事件应急预案》等采取相应的措施。
(六)保障措施
1 、加强技术培训 ,提高应对能力
县疾控中心、医政股要加强对县疾控中心专业技术人员的技术培训,提高流行病学调查、监测 、消毒处理和实验室检验的能力,加强对医务人员禽流感防治知识的培训,要求每一位接诊医务人员都要掌握新型冠状病毒肺炎诊疗、预防控制和流行病学调查的相关知识 ,提高基层医务人员早期发现病人能力和诊疗水平 。
2、加强生物安全管理,确保实验室生物安全
县疾控中心要完善有关生物安全规章制度,配备必要的人员 ,健全实验室安全管理制度,使生物安全管理做到科学化 、规范化、制度化。各医疗卫生机构要对专业人员进行有关生物安全知识的培训,提高专业人员生物安全防护意识和能力。
3、加强监督检查 ,确保措施落实
县卫健局组织开展防控措施落实情况的督查和指导,加强对重点地区的督导,督查应急预案制定 、业务培训、技术演练、疾病监测、疫情报告 、传染病预检分诊及疫情现场控制等措施落实情况 ,发现问题要及时解决,对玩忽职守的人员要严肃处理 。
4、做好物资储备,保障经费支持
积极争取和合理安排疾病预防控制和卫生应急工作经费 ,做好防护用品、应急预防性药物 、抗病毒治疗和对症治疗药品、消杀药械、检测试剂等各类应急物资储备。要加强与财政 、医保等部门的密切配合,在积极治疗新型冠状病毒肺炎患者的同时,妥善安排救治经费,支持医疗机构做好重症患者的临床救治工作。
六、预案制定
本预案由县卫生健康局制定并发布 。各级医疗卫生机构应结合实际制定本单位的新型冠状病毒肺炎应急预案 ,并报县卫生健康育局卫生应急股备案。
七、责任追究
根据《中华人民共和国传染病防治法》 、国务院《突发公共卫生事件应急条例》等有关法律、法规和文件精神,建立防治工作责任追究制度。
1、在执行本预案时,对玩忽职守 、失职、渎职、不服从统一指挥、调度 ,未认真履行工作职责,组织协调不力,推诿扯皮 ,措施落实不到位,以及工作中出现重大失误,造成严重后果的 ,将依法追究相关部门领导和相关人员的责任 。
2 、对隐瞒、缓报、谎报或授意他人隐瞒 、缓报、谎报新型冠状病毒肺炎疫情的,将依法追究相关人员责任。
1 、新型冠状病毒感染的肺炎临床表现有哪些?
患者主要临床表现为发热、乏力,呼吸道症状以干咳为主 ,并逐渐出现呼吸困难,严重者表现为急性呼吸窘迫综合征、脓毒症休克 、难以纠正的代谢性酸中毒和出凝血功能障碍。部分患者起病症状轻微,可无发热。
多数患者为中轻症,预后良好 ,少数患者病情危重,甚至死亡 。
2、如果出现早期临床表现,是否意味着自己被感染了?什么情况下需要就医?如出现发热、乏力 、干咳表现 ,并不意味着已经被感染了。
但如果出现发热(腋 *** 温≥37.3℃)、咳嗽、气促等急性呼吸道感染症状,且有武汉旅行或居住史,或发病前14天内曾接触过来自武汉的发热伴呼吸道症状的患者 ,或出现小范围聚集性发病,应到当地指定医疗机构进行排查、诊治。
3 、去医院就医需要注意什么?
就医时,应如实详细讲述患病情况和就医过程 ,尤其是应告知医生近期的武汉旅行和居住史、肺炎患者或疑似患者的接触史、动物接触史等 。特别应注意的是,诊疗过程中应全程佩戴外科口罩,以保护自己和他人。
4 、什么是密切接触者?
与发病病例(疑似和确诊病例)有如下接触情形之一者属于密切接触者:
(1)与病例共同居住、学习、工作或其他有密切接触的人员;
(2)诊疗 、护理、探视病例时未采取有效防护措施的医护人员、家属或其他与病例有类似近距离接触的人员;
(3)病例同病室的其他患者及其陪护人员;
(4)与病例乘坐同一交通工具并有近距离接触人员;
(5)现场调查人员调查经评估认为符合条件的人员。
5 、为什么密切接触者要医学观察14天?
目前对密切接触者采取较为严格的医学观察等预防性公共卫生措施十分必要 ,这是一种对公众健康安全负责任的态度,也是国际社会通行的做法 。参考其他冠状病毒所致疾病潜伏期、此次新型冠状病毒病例相关信息和当前防控实际,将密切接触者医学观察期定为14天,并对密切接触者进行居家医学观察。
6、公众如何预防新型冠状病毒感染的肺炎?
(1)保持手卫生。咳嗽 、饭前便后、接触或处理动物排泄物后 ,要用流水洗手,或者使用含酒精成分的免洗洗手液 。
(2)保持室内空气的流通。避免到封闭、空气不流通的公众场所和人多集中地方,必要时请佩戴口罩。咳嗽和打喷嚏时使用纸巾或屈肘遮掩口鼻 ,防止飞沫传播 。
(3)医院就诊或陪护就医时,一定要佩戴好合适的口罩。
(4)良好安全饮食习惯,处理生食和熟食的切菜板及刀具要分开 ,做饭时彻底煮熟肉类和蛋类。
(5)尽量避免在未加防护的情况下接触野生或养殖动物。
7、近期去过武汉,回到居住地后要注意什么?如出现临床症状,是否要做新型冠状病毒感染的肺炎相关检查?
回到居住地之后 ,可在2周内注意加强身体防护,关注自身身体状态 。如果接到疾控部门通知,需要接受居家医学观察 ,不要恐慌,不要上班,不要随便外出,做好自我身体状况观察 ,定期接受社区医生的随访。如果出现发热(腋 *** 温≥37.3℃) 、咳嗽、气促等急性呼吸道感染早期临床症状,请及时到当地指定医疗机构进行排查、诊治。
来源:综合世界卫生组织 、中国疾控中心、湖北省卫生计生宣教中心、武汉市卫生计生宣教中心
编辑:杨明昊
本文由小金于2026-03-27发表在金层网,如有疑问,请联系我们。
本文链接:https://m.jinceng.com/83196.html