淋病奈瑟菌是引起淋病的病原菌,属于革兰氏阴性双球菌 ,主要通过性接触传播,也可通过母婴垂直传播或接触污染物品间接传播 。
淋病的症状:男性感染者常表现为尿道口红肿 、灼痛、排尿困难,伴有黄绿色脓性分泌物;女性感染者可能出现 *** 分泌物增多、异味 、尿痛或下腹坠痛 ,但部分女性可能无明显症状,成为无症状携带者。若未及时治疗,可能引发盆腔炎、输卵管狭窄等并发症 ,增加不孕或宫外孕风险。
诊断 *** :医生通过采集尿道或宫颈分泌物进行涂片镜检(直接观察革兰氏阴性双球菌)或培养(确认菌种并做药敏试验) 。必要时结合血液检测(如HIV共感染筛查)或PCR核酸扩增技术提高诊断准确性。
治疗方案:首选第三代头孢菌素(如头孢曲松)单次肌注,或联合口服阿奇霉素。治疗期间需严格遵医嘱完成疗程,即使症状消失也不可自行停药 ,避免耐药菌产生 。 *** 需同步接受检查与治疗,治疗期间禁止性行为,防止交叉感染。
注意事项:
按时服药,完成全程治疗 ,避免漏服或中断;保持外阴清洁,每日用温水清洗,避免使用 *** 性洗液;个人物品(如毛巾、内衣)单独清洗消毒 ,不与他人共用;治疗结束后需复查分泌物培养,确认治愈。预防措施:
正确使用安 *** 可显著降低感染风险;固定 *** ,避免高危性行为;定期进行性健康筛查 ,尤其是有新 *** 或出现症状时;母婴传播预防:孕妇感染者需在产前规范治疗,减少新生儿淋病性眼炎风险 。重要提示:淋病奈瑟菌感染需专业医疗干预,切勿自行用药或依赖 *** 信息。若对诊断结果有疑问 ,或出现症状反复 、治疗无效等情况,请立即咨询医生调整方案。
淋病的检查主要包括分泌物涂片检查、淋病奈瑟菌培养以及淋病奈瑟菌核酸检测,具体如下:
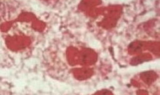
分泌物涂片检查:医生会取患者尿道口 、宫颈口或其他可能感染部位的分泌物 ,放置在显微镜下进行观察。在淋病患者中,白细胞内常会出现革兰染色阴性双球菌,这是淋病奈瑟菌的典型特征 。此检查 *** 操作简便、快速,是初步筛查淋病的常用手段。但需注意 ,其特异性相对较低,可能受到其他因素干扰,出现假阳性或假阴性结果。
淋病奈瑟菌培养:淋病奈瑟菌培养是诊断淋病的金标准 。医生会将采集的分泌物样本接种到特定的培养基上 ,经过一段时间的培养后,观察是否出现典型的淋病奈瑟菌菌落。若培养出典型菌落,基本可以确诊为淋病。此 *** 特异性高 ,准确性可靠,但培养过程相对耗时,且对实验室条件要求较高 。
淋病奈瑟菌核酸检测:淋病奈瑟菌核酸检测利用聚合酶链反应技术 ,对分泌物中的淋病奈瑟菌DNA进行检测。若检测结果呈阳性,基本可以判断为淋病。此 *** 灵敏度高,能够在感染早期即检测出病原体 ,且不受样本中其他微生物的干扰 。但需注意,核酸检测也可能出现假阳性结果,需结合临床症状和其他检查结果进行综合判断。

(图片来源于 *** 侵删)
若出现尿道口灼热、瘙痒、红肿 、白带分泌物增多或排尿疼痛等不适症状,建议及时就诊医院 ,接受专业医生的诊断,并在医生指导下进行正确的治疗。
淋病奈瑟菌的严重性取决于治疗时机与规范性,具体分析如下:
1.及时规范治疗时 ,病情可控且不严重
淋病奈瑟菌感染若能在早期确诊并接受规范治疗,通常预后良好 。首选药物为头孢曲松(肌注)或大观霉素,治疗周期根据病情严重程度调整 ,多数患者可在短期内清除病原体,避免并发症发生。此时,淋病奈瑟菌感染对健康的威胁较低 ,不属于严重疾病范畴。
2.治疗不及时或不规范时,可能引发严重并发症
若未及时治疗或用药不当,淋病奈瑟菌可扩散至生殖系统外 ,导致盆腔炎、输卵管粘连 、不孕症等女性生殖系统并发症,或附睾炎、前列腺炎等男性并发症。此外,病原体可能通过血液传播引发播散性淋病,累及关节、心脏等器官 ,甚至危及生命 。孕妇感染还可能导致新生儿淋病性眼炎,造成视力损害。
3.诊断需结合实验室检查与临床症状
淋病奈瑟菌检测阳性仅提示病原体存在,需结合尿道/宫颈分泌物异常(如脓性分泌物) 、排尿疼痛、性接触史等临床表现综合判断。若确诊为淋病 ,必须立即启动规范治疗,避免病情进展 。
4.预防与规范治疗是关键
淋病奈瑟菌感染的严重性可通过早期干预显著降低。安全性行为、定期筛查 、及时就医是预防并发症的核心措施。治疗期间需严格遵医嘱用药,避免自行停药或更换药物 ,同时通知 *** 同步检查治疗,防止交叉感染 。
综上,淋病奈瑟菌的严重性具有条件性:规范治疗下可控 ,延误治疗则风险显著升高。公众应提高对性传播疾病的认知,重视早期筛查与规范治疗。
淋病的检查 *** 需通过专业医学检测确诊,主要包括以下四种方式 ,具体检查需遵医嘱:
1.涂片检查
医生会从患者可能感染的部位(如尿道、 *** 、 *** 或宫颈)采集分泌物样本,通过革兰氏染色后在显微镜下直接观察是否存在淋病奈瑟菌 。该 *** 操作快速、成本低,但敏感性有限,可能因样本中细菌数量不足或存在其他微生物干扰而出现假阴性结果 ,通常作为初步筛查手段。
2.培养检查
将采集的样本接种于选择性培养基中,通过观察细菌生长情况确认淋病奈瑟菌的存在。培养法是诊断淋病的“金标准 ”,特异性高且能明确细菌活性 ,但需24-72小时出结果,且对实验室条件要求严格 。
3.核酸检测(PCR)
通过聚合酶链反应(PCR)技术检测样本中淋病奈瑟菌的特异性核酸序列。该 *** 灵敏度极高,可检测出低载量感染 ,尤其适用于无症状携带者或早期感染者,但需避免样本污染以防假阳性。
4.血清学检查
检测血液中针对淋病奈瑟菌的抗体(如IgM、IgG),但通常不用于临床诊断。因抗体可能在感染后数月甚至数年持续存在 ,无法区分现症感染与既往感染,仅作为流行病学研究或特殊情况下的辅助参考 。
注意事项:
检查准确性受样本质量、采集时间(如症状出现后1周内阳性率更高)及检测 *** 敏感性影响,需严格遵循医嘱。怀疑感染时应立即就医 ,主动告知性接触史及症状,避免延误治疗。治疗期间需禁止性行为, *** 应同步检查治疗,防止交叉感染 。预防关键在于安全性行为(如正确使用安 *** ) 、减少 *** 数量及定期性健康筛查。提示:以上内容为医学知识科普 ,具体诊疗方案需由专业医生根据个体情况制定。
淋病奈瑟菌阳性的治疗需以确诊淋病为前提,具体治疗方案如下:
一、确诊淋病是治疗前提
淋病奈瑟菌阳性仅提示体内存在该菌,但需结合症状(如尿道或宫颈分泌物增多 、排尿疼痛、脓性分泌物等)及进一步检查(如分泌物涂片、培养或核酸检测)确认是否为活动性淋病感染 。若确诊为淋病 ,需立即启动规范治疗;若为无症状携带或既往感染,可能无需治疗,但需定期随访。
二 、首选治疗方案
1.头孢曲松肌注:
剂量与疗程:成人单次肌注1g头孢曲松(第三代头孢菌素) ,对绝大多数淋球菌感染有效。作用机制:通过破坏细菌细胞壁合成发挥杀菌作用,对淋球菌高度敏感 。
2.大观霉素肌注:适用情况:对头孢类过敏或耐药菌株感染时,可选用单次肌注2g大观霉素。注意事项:需严格掌握剂量 ,避免过量导致不良反应。三、治疗时间与调整
单纯性淋病:单次用药即可完成治疗,但需在用药后7天复查,确认治愈 。复杂性淋病(如合并盆腔炎、附睾炎或播散性感染):需延长疗程至10-14天 ,并联合其他抗生素(如多西环素)治疗。耐药菌株:若对头孢曲松耐药,需根据药敏试验选择替代方案(如头孢噻肟+阿奇霉素)。四 、辅助治疗与注意事项
*** 管理:患者 *** 需同时接受检查和治疗,避免交叉感染。避免性行为:治疗期间及治愈前应禁止性行为,防止传播 。随访与复查:治疗后需定期复查分泌物 ,确认淋球菌转阴,防止复发或慢性化。五、淋球菌致病机制与治疗关联
淋球菌通过外膜脂多糖、脂蛋白和菌毛粘附于柱状上皮细胞(如尿道 、宫颈),并繁殖释放毒素导致炎症。头孢曲松和大观霉素可有效破坏细菌结构 ,阻断其粘附与繁殖,从而治愈感染 。
本文由小金于2026-03-15发表在金层网,如有疑问,请联系我们。
本文链接:https://m.jinceng.com/65458.html