一、疫情封控区什么时候才能正常出去一般14天,疫情防范区14天新增为0就可以解封,疫情防范区能否解封具体要看封闭小区是否有新增病...
一、2021广州海珠区疫情最新消息怎么样了 2021年广州海珠区疫情最新情况为:11月2日22时接报1名入境人员解除隔离后核酸初...
一、广州海珠区疫情转移到哪里 2022年11月广州海珠区疫情转运涉及的隔离人员数量较多,隔离酒店分布多个地市。广州海珠区防控措施...
一、2021广州海珠区疫情最新消息怎么样了 2021年广州海珠区疫情最新情况为:11月2日22时接报1名入境人员解除隔离后核酸初...
一、广州海珠区属于什么风险等级广州风险分类标准:(1 高危地区:累计病例数超过50例,14天内有聚集性疫情。(2 中等风险:14...
一、广州海珠区放走多少人 1555人11月28日下午,广州市政府新闻办举行广州市疫情防控新闻发布会。市卫生健康委、市交通运输局、...
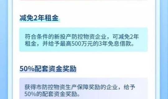
本文目录海珠区最新防疫政策广州市海珠区防疫政策2023年广州市海珠区江海街道雇员招聘公告一、海珠区最新防疫政策2022年11月7...
一、广州市海珠区防疫政策离开当地政策:全程佩戴口罩,测温、查验健康码、行程卡并分类处置,旅客凭绿码通行。1.发热旅客移交医疗机构...
一、广州海珠区疫情怎么开始的一是广州本地疫情,源头都在外地输入。这在前面的文章中已经讲过。二是,新冠疫情若能做到闭环管理,像冬奥...
一、广州海珠区封闭了吗一、严格控制人员流动。市民除接受核酸检测和紧急就医等,原则上非必要不外出,不串门、不扎堆、不聚集。每户每天...