一、2024年,新冠疫情终于结束!新冠疫情,这场全球性的灾难,在2020年正式爆发。中国,这个国家,面对挑战,团结一致,共克时艰...
一、2021广东疫情开始时间 2021广东疫情开始时间是2021年5月21日。1、根据查询相关疫情信息显示,2021年5月21广...
一、北京小汽车摇号一年几次北京小汽车摇号一年进行两次。以下是关于北京小汽车摇号制度的详细说明:摇号次数:北京小汽车摇号制度规定,...
一、疫情最严重的时候是在哪一年疫情最严重的时候是在2020年。以下是关于2020年疫情严重性的详细分析:全球疫情爆发:2020年...
一、菏泽地震史近几年菏泽市历史上发生过以下几次地震:1. 1937年8月1日04时35分,在山东省菏泽西南-东明县一带发生7级大...
一、贵州的疫情从哪里引起的疫情批发市场。贵州,简称“黔”或“贵”,省会贵阳。地处中国西南内陆地区腹地。是中国西南地区交通枢纽。贵...
一、11天法定节假日是哪11天一、11天法定节假日是哪11天1、11天法定节假日,具体如下:(1)元旦一天;(2)春节三天;(3...
一、黑龙江此轮疫情开始呈现多点散发态势,当地的疫情有多严重引言:此次黑龙江出现的疫情开始呈现多点散发的形势。自从二十一日出现新冠...
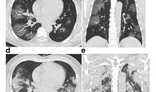
一、新冠肺炎有哪些症状基于目前流行病学的调查研究,新冠肺炎的潜伏期多是4-8天,一般为1-14天。新冠肺炎虽为自限性疾病,但受感...
一、2021东京奥运会有多少国家不参加有205个国家或地区不参加东京奥运会,参赛国有196个。为了迎接2020年东京奥运会,日本...